
Periventricular leukomalacia (PVL) is a type of brain injury. It is used to describe damaged or dead areas of brain tissue, particularly glial cells. Glial cells supports the nerves, and damaged glial cells cause further damage to the brain’s white matter. White matter, composed mostly of glial cells, helps to transmit messages throughout the cerebrum (the largest part of the brain) in a healthy brain.
Lack of oxygen and too little blood to the brain can each cause PVL injuries. Premature babies are more susceptible to PVL. Recent studies also show that women with intrauterine infections are more likely to deliver babies who suffer from PVL. Those deficits cause an inflammatory response in the brain, which is designed to prevent damage, but ends up doing more harm than good in a developing baby’s brain. The inflammatory response can cause damage to parts of the brain that are near the originally damaged tissue. There is much research being done to try to prevent or minimize this inflammatory response, with some focus being on cooling caps.
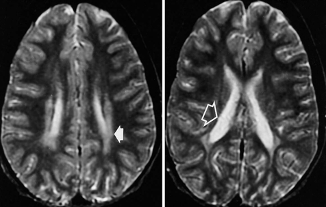
PVL is often diagnosed shortly after birth by taking an ultrasound of the baby’s head. An ultrasound is a device that uses high frequency sound waves (instead of radiation) to make an image. On the ultrasound, PVL injuries may look like swiss cheese, with dead brain tissue resembling holes on the scan. MRIs (which are more accurate) and CT scans can also be used to diagnose PVL. The damage may not be observable right away—in some cases, the injury to the brain won’t manifest fully until about eight weeks after birth. These scans are not routinely performed, but will be only be used when the doctors believe there is cause for concern—usually a premature baby, problems sucking, or unusual stiffness.
PVL is categorized by severity into different grades (1 through 4), with the higher numbers representing more severe periventricular leukomalacia.
Children who suffer periventricular leukomalacia injuries are more likely to develop cerebral palsy (20% to 60%, according to some studies), developmental delays, blindness and seizures. The amount and location of brain damage will determine the level of the child’s injuries.
If your child suffers from cerebral palsy or developmental delays, contact our medical malpractice attorneys at (440) 252-4399 or send us an online request for more information. We can help to determine if your child suffered from periventricular leukomalacia, and whether that injury caused your child’s medical problems.

